3D-printing en orthopedie: de impact van innovatieve zorg op een privéchauffeur
Bij Orthoca combineren we moderne technologie met gespecialiseerde orthopedische zorg om patiënten een nieuwe kans te geven. In dit artikel delen we het verhaal van Gevorgyan, een jonge privéchauffeur met een ernstig probleem in zijn hand. Dankzij een 3D-geprinte prothese op maat kan hij weer zonder pijn bewegen en is zijn mobiliteit behouden. We spraken met Prof. Dr. Vanhees en Gevorgyan om hun perspectieven te horen.
Hand & pols
Nieuws

Gerelateerde berichten
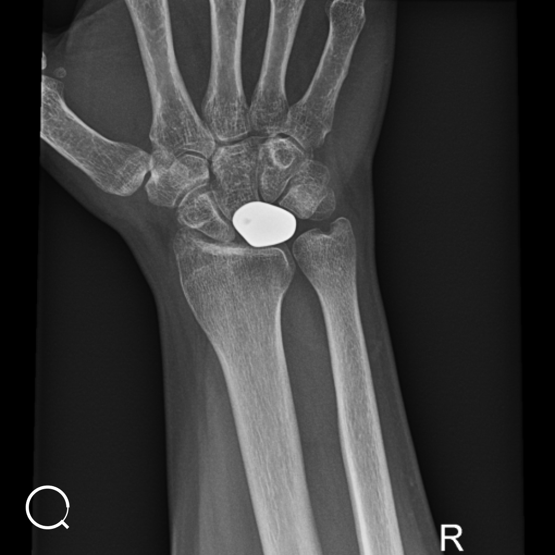
Wat was het probleem waarmee Gevorgyan kampte?
Prof. Vanhees: “Gevorgyan kampte met avasculaire necrose van een bot (os lunatum) in zijn hand, een aandoening waarbij een bot afsterft door een gebrek aan bloedtoevoer. Dit veroorzaakte hevige pijn en dreigde zijn mobiliteit volledig te beperken.
Traditionele behandelingen, zoals een polsfusie, zouden de pijn kunnen verlichten, maar zouden ook de beweeglijkheid van zijn pols beperken. Voor een jonge, actieve man zoals Gevorgyan was dat geen ideale oplossing.”
Gevorgyan: “Ik weet nog precies wanneer het gebeurde. Ik werkte toen in een bar en moest zware vaten verplaatsen. Op een dag voelde ik iets misgaan in mijn pols, maar ik dacht dat het vanzelf wel zou overgaan. In de tussentijd had ik mijn eigen zaak opgestart als privéchauffeur, vooral voor luchthavenvervoer.
De pijn bleef echter aanhouden en werd zo erg dat ik mijn werk niet meer kon uitvoeren. Gelukkig kon mijn zus mijn ritten overnemen en me uit de nood helpen. Mijn huisarts verwees me door naar Orthoca, waar Prof. Vanhees snel vaststelde dat dit niet zomaar zou overgaan.”


Hoe heeft 3D-printing geholpen bij deze behandeling?
Prof. Vanhees: “We hebben gekozen voor een 3D-geprinte prothese, volledig op maat gemaakt voor Gevorgyan. Een 3D-scan van zijn gezonde hand leverde de basis om een zo nauwkeurig mogelijke replica te maken van het beschadigde botje.
Dankzij onze samenwerking met CADskills konden we de prothese printen in titanium, een sterk en bio-compatibel materiaal dat uitstekend door het lichaam wordt geaccepteerd.”
Gevorgyan: “Prof. Vanhees nam de tijd om alles heel duidelijk uit te leggen, wat me hielp om een goede keuze te maken. Ik ben hem ontzettend dankbaar dat hij de oplossing met 3D-printing voorstelde. Het idee dat ik mijn hand en pols niet meer normaal zou kunnen bewegen, maakte me erg ongerust.“


Hoe verliep de operatie en wat is het resultaat?
Prof. Vanhees: “Tijdens de operatie hebben we de beschadigde botje vervangen door de prothese. Dankzij de precisie van de 3D technologie paste de prothese perfect. Gevorgyan voelde direct verlichting van de pijn en kon snel beginnen met revalidatie oefeningen.”
Gevorgyan: “Ik was wakker tijdens de operatie en kon alles mee volgen op een scherm. Ik vond dat helemaal niet eng, het was vooral heel fascinerend. Prof. Vanhees vertelde me ook wat er aan het gebeuren was, heel indrukwekkend. Vrijwel meteen na de operatie voelde ik dat het beter ging.
Nu, drie maanden later, kan ik mijn hand al behoorlijk goed bewegen, en het wordt elke dag beter. Ik ben ook weer aan het werk, gelukkig!”


Wat maakt deze behandeling zo bijzonder?
Prof. Vanhees: “Het unieke aan deze techniek is dat het niet alleen pijn verlicht, maar ook grotendeels de bewegingsvrijheid behoudt. Dit opent nieuwe deuren voor patiënten die vroeger zouden moeten kiezen tussen pijnbestrijding en mobiliteit.”
Gevorgyan: “Ik ben vooral blij dat deze optie bestaat. Je handen zijn zo belangrijk in het dagelijks leven. Je beseft pas hoe essentieel ze zijn als je pijn hebt en dingen niet meer kunt doen.”
Wilt u meer weten over Prof. Dr. Matthias Vanhees en zijn expertise in handchirurgie of bent u op zoek naar consultatiemogelijkheden? Bezoek zijn profielpagina voor meer informatie over zijn specialisaties en consultatietijden: Prof. Dr. Matthias Vanhees | Orthoca